一面锦旗映初心,医患情深暖基层——“百千万工程”赋能医疗惠民纪实

潘阿姨因外伤导致右手腕着地后瞬间传来剧烈疼痛,肿胀与畸形接踵而至,连简单的抬手动作都无法完成。“当时我吓坏了,以为手要废了!”回忆起受伤时的情景,潘阿姨仍心有余悸。以往,这类复杂骨折需要辗转几十公里前往三甲大医院进行微创手术治疗,不仅往返折腾,挂号排队也让年迈的她难以承受。
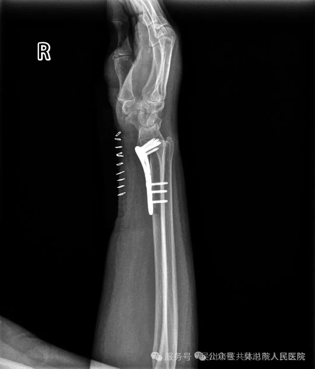
而如今,搭乘“百千万工程”优质医疗资源下沉的春风,我院骨外科已具备开展复杂骨折微创手术的能力,让潘阿姨实现了“家门口看好病”的心愿。被紧急送医后,经细致查体及影像检查,CT结果显示其右腕为粉碎性骨折,骨质碎裂,骨折线呈不规则形,关节面受到累及,若治疗不当极易引发创伤性关节炎,导致后续关节疼痛与活动受限。
结合潘阿姨的年龄与身体状况,王井旺率手术团队经过缜密讨论,决定采用微创手术治疗方案——依托“百千万工程”专项资助配备的高精度骨折复位设备,在精准定位下实现骨折端解剖复位,再用钛合金钢板进行稳固内固定。该部位骨折若处理不佳,将严重影响手腕功能。面对潘阿姨的病情与忧虑,骨一科团队快速响应,曾文晓副主任医师、欧春云副护士长、王井旺耐心向患者及家属详解病情,舒缓家属焦虑情绪。
为最大限度恢复手腕功能、减少后遗症,经全面术前评估,手术由王井旺主刀。手术当天,无影灯亮起,王井旺手持器械的动作沉稳而精准,眼神锐利如炬,他避开血管与神经密集区域,术中发现潘阿姨骨折碎片存在隐匿性移位,王井旺没有急于操作,而是结合术前影像反复确认复位角度,最终凭借近20年创伤骨科经验,精准调整钢板位置,确保术后关节功能不受影响,这一幕被在场护士记录为“教科书级的手术决策”。整个过程中,护士团队默契配合,精准传递器械,麻醉医生紧盯监护仪上的生命体征,手术室里器械碰撞声与监护仪的滴答声交织成专业的节奏,每一个环节都严丝合缝。




手术的成功为康复奠定基础,而术后精细化护理则是潘阿姨快速恢复的关键。骨外科护理团队为她制定了个性化康复计划:术后第3天指导进行腕关节被动屈伸训练,每次10分钟、每日3次;第7天过渡到主动抓握训练,使用握力球逐步进行辅助训练,每组15次、每日5组,帮助改善局部血液循环,预防关节僵硬。护理人员每日监测患肢肿胀程度、耐心讲解膳食调理要点,建议多摄入高蛋白与钙质食物,为骨骼愈合提供营养支持。
得益于术前精准手术与术后科学护理,潘阿姨的康复进程远超预期。复查结果显示,她的右腕掌屈32°、背伸38°,活动度已接近正常生理范围,日常生活能力基本恢复,不仅能自主穿衣、洗漱,还能重新拿起厨具炒菜做饭。“真的太感谢王医生和护士们了!”潘阿姨的感激之情溢于言表。
自“百千万工程”实施以来,我院聚焦群众“看病难、看病远”的痛点,一方面通过“百千万工程”资金支持升级医疗设备,另一方面推行“带起来+送出去”的人才培养模式,选派骨干医护赴上级医院进修,同时邀请省级专家定期驻点带教 。如今,医院骨科微创手术量同比增长40%,患者平均住院时间缩短2天,乡镇患者“跨市就医率”下降35%,真正让优质医疗资源扎根基层。
(骨外科一区供稿)

从事临床一线工作近20年。湛江市医学会创伤骨科分会专业委员会委员、广东省基层医药学会数字骨科诊疗专委会委员。“百千万工程”吴川市紧密型县域医疗共同体“一科一院组团式”帮扶下沉专家。曾先后到在清远市人民医院骨科进修半年、广东省第二人民医院、清远市第二人民医院反复多次短期学习(主攻创伤骨科、四肢骨折微创治疗)。
擅长:微创治疗各类创伤、骨折等,尤其在四肢骨折精准复位与功能康复方面经验丰富。


用户登录
还没有账号?
立即注册