骨外科二区:熟练运用髓内钉技术治疗各类型骨折
我院骨外科二区持续在临床治疗长骨骨折中,熟练运用微创髓内钉技术治疗股骨骨折、肱骨骨折以及胫骨骨折,手术通道囊括顺打髓内针和倒打髓内针,患者年龄包括青、中、老年人,使得患者减轻痛苦,快速康复,为患者带来健康福祉,得到患者及家属的充分肯定。
病例一:该患者为中年男性,外伤致肱骨干闭合性骨折,给予肱骨干骨折闭合复位髓内钉内固定术。髓内钉,顾名思义是一种置入骨髓腔内的内固定装置。它的工作原理就像是在长管状骨的内部架设一支坚固的支架,将断裂的骨头连接固定在一起。
病例二:该患者为青年男性,外伤致股骨干闭合性骨折,给予股骨干骨折闭合复位髓内钉内固定术,术后可早期下地锻炼。髓内钉技术属于微创操作——采用闭合穿钉技术,软组织剥离少,保留了骨折血肿,减少了对骨膜血运的破坏,可以不暴露骨折部位而复位骨折端,降低了骨折不愈合的风险及手术感染率。
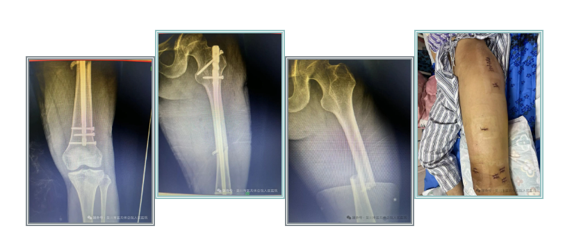
病例三:该患者为96岁老年患者,诊断:右胫骨下段开放性骨折,入院后给予胫前皮肤清创缝合术+托具外固定术,胫前皮肤愈合后给予髓内钉复位内固定术,术后顺利康复出院。
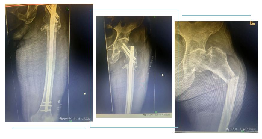
病例四:该患者为78岁老年女性,既往有多发性骨髓瘤病史,外伤致左股骨肿瘤性病理性骨折,完善相关术前准备后,给予左股骨骨折切开复位髓内钉内固定术,减轻了患者痛苦,达早期康复出院。
对患者而言,髓内钉最大的优势在于早期功能锻炼和快速康复。髓内钉固定坚实牢靠,术后可以不用外固定,有利于伤肢的早期活动锻炼。相比传统钢板固定,髓内钉允许患者更早开始活动和负重,大大缩短了康复周期。未来展望,骨外科二区将继续把病人放在首位,默默耕耘,持续创新骨科技术,更加精准、有效,创伤更小来帮助患者早日康复。
(骨外科二区供稿)
终审:平台超管

用户登录
还没有账号?
立即注册