骨外科二区

骨外科二区

【新技术】我院骨外科二区利用微创技术破解复杂胫骨平台骨折治疗难题

发布时间:2026/02/14 点击数: 【字体:

近日

我院骨外科二区在

科主任、主任医师李玉春的带领下

自主成熟开展

微创技术治疗复杂胫骨平台骨折

以小切口实现大疗效

标志着我院骨科诊疗技术迈上新高度






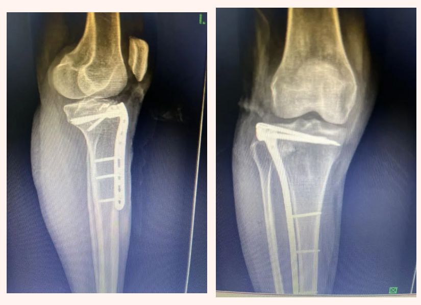
此前,胫骨平台骨折的传统治疗需采用大切口手术,存在创伤大、出血多、术后恢复慢等弊端,且术中无法直视胫骨平台平整度,这也是术后创伤性关节炎的主要诱因。骨外科二区此次落地的微创治疗技术,对手术入路进行了优化改良,术中仅需小切口即可操作,不仅能肉眼直视下精准恢复胫骨平台平整度,还可同步观察半月板损伤情况。同时大幅减少软组织剥离与X线透视次数,让手术更精准、安全、个体化,有效降低患者创伤,加快术后恢复进程。






该技术已成功应用于临床,患者欧某因车祸致左胫骨平台骨折(Schatzker分型Ⅴ型),该科医护团队术前制定周密手术方案,采用经关节手术入路的微创方式,既恢复了外侧平台平整度、稳定骨折端,又规避了内外侧双切口带来的巨大损伤与风险。



患者徐某因车祸致右胫骨平台骨折(Schatzker分型Ⅲ型),经同款微创术式治疗后,同样实现了外侧平台精准复位,且创伤小、恢复期短,临床疗效显著。



 







微创治疗胫骨平台骨折,是该类损伤治疗的发展方向,核心是以最小创伤换取最佳治疗效果。我院骨外科二区将持续完善人才梯队培养,深耕技术创新,不断提升患者就医体验与满意度。




(图/文 陈韶宏)




终审:平台超管
分享到:
【打印正文】
×

用户登录