多学科协作,守护生命防线!我院创伤中心成功救治多例危重创伤患者

我院创伤中心作为区域创伤救治核心平台,依托“快速响应、多学科协同、精准救治”的体系,一次次为危重患者筑起生命防线。近日,我院创伤中心通过多学科“联合作战”,成功救治三例高难度创伤病例。
“原本以为只能去省城,没想到在老家就治好了!” 一位因严重跌伤导致转子下粉碎性骨折、双下肢无法伸直的患者,在术后康复时感慨道。此前,多家医院均建议其转至省级三甲医院手术。
面对这一复杂病例,由我院副院长麦晓牵头,组织骨外科一区、医学影像科等学科负责人进行MDT多学科会诊,团队摒弃创伤较大的切开复位方案,制定“闭合复位PFNA内固定”的微创策略。
在骨外科一区副主任、副主任医师曾文晓的带领下,主治医师王井旺、医师李华强等手术团队凭借精准操作,仅用1小时便完成手术,既实现骨折复位固定,又最大程度保护软组织。
一名因车祸导致全身多处严重创伤的患者被送至我院时,已处于意识模糊、血压骤降的危险状态,诊断为多发性骨盆及股骨粉碎性骨折,伴有失血性休克,生命垂危。

创伤中心立即启动应急机制,急诊医学科迅速开通创伤绿色通道,院领导现场指挥调度,骨外科一区、麻醉科、重症医学科、输血科等多学科团队迅速集结,投入抢救。
医护团队果断采取“先保命,再治伤”的阶梯方案:先行骨科干预稳定骨折、控制出血,快速输血补液纠正休克,待生命体征平稳后,再行精准复位内固定手术。由曾文晓副主任医师、王井旺主治医师、李斌医师组成的手术团队争分夺秒、高效协作,顺利完成手术。术后患者转入ICU严密监护,经个性化治疗与护理,现已脱离生命危险,正在逐步康复中。
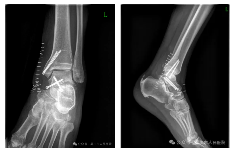
患者一周前因意外导致左踝部严重受伤。送入我院时,患者的左踝已严重肿胀变形。CT提示左侧内踝骨折、距骨粉碎性骨折合并脱位,关节面损伤,脆弱的血管神经束受到碎裂骨块的压迫。

足踝部位血供特殊,此类严重骨折不仅破坏骨骼结构,危及软组织血运。若不妥善处理,患者可能面临距骨坏死、足踝功能永久性受损的风险。
面对复杂病情,在广东省中医院陈海云教授的指导下,我院骨外科一区联合医学影像科,利用三维重建技术进行多次术前模拟推演,最终确定了“有限切开结合微创内固定”的方案。

手术过程中,手术团队运用直径仅2毫米的导针,在狭窄的骨缝间小心翼翼地穿行,将塌陷的关节面逐一复位,再用中空螺钉稳稳固定核心结构,全程借助术中透视技术,确保每一枚螺钉的位置、深度都恰到好处,既实现了牢固固定,又完美避开了周围的血管神经。历时3小时,成功完成了这场高难度的“骨骼修复工程”。
术后,由骨外科一区护士长陈晓燕带领的护理团队,为患者制定了详细的康复计划,每日密切监测患者的患肢血运、感觉及运动情况,手把手指导患者进行功能训练,从最初简单的脚趾活动,到逐步增加强度的关节屈伸、负重练习,全程给予专业、细致的康复支持,助力患者稳步恢复。

这三例病例成功的背后,是我院创伤中心整合骨科、重症医学科、麻醉科、医学影像科等多学科资源,建立“创伤绿色通道+MDT会诊+微创治疗+术后康复”的全周期救治体系的生动体现。未来,我院将继续秉持“人民至上、生命至上”的服务理念,以精湛技术守护生命,以温暖服务传递希望。
(骨外科一区供稿)

用户登录
还没有账号?
立即注册