医院新闻
-
添加图片描述 我院召开2025年度工作总结表彰大会 总结2025年度医院工作 部署2026年具体工作 表彰一批优秀集体和个人 我院党委书记李权 院长李东等党政领导班子成员 以及中层干部参加会议 会上,李东作医院年度工作报告。报告指出,过去一年,我院以党建引领筑牢医院高质量发展根基;聚焦民生福祉,夯实“百千万工程”...
-
添加图片描述 为做好我院2026年春节期间安全生产工作,保障节日期间医院各项工作安全有序运行,2月13日下午,我院召开安全生产工作会议,部署春节期间医院的安全生产工作。我院党委书记李权、院长李东等党政领导班子参加会议。 会上,李权、李东、龙辅中等领导分别对春节期间医院的安全生产工作提出具体的要求和措施,...
-
值春节来临之际,为弘扬中华优秀传统文化,营造温馨祥和的节日氛围,2月11日上午,我院邀请广东省书法家协会会员、市岭南春书画院院长凌剑飞等多名书法家,到我院举办“写春联送祝福”活动,为广大职工送上诚挚的新春祝福。 活动现场,墨香弥漫,暖意融融。我院院长李东等领导亲临现场观摩,与广大职工一同感受传统文化...
-
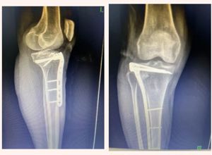
近日 我院骨外科二区在 科主任、主任医师李玉春的带领下 自主成熟开展 微创技术治疗复杂胫骨平台骨折 以小切口实现大疗效 标志着我院骨科诊疗技术迈上新高度 此前,胫骨平台骨折的传统治疗需采用大切口手术,存在创伤大、出血多、术后恢复慢等弊端,且术中无法直视胫骨平台平整度,这也是术后创伤性关节炎的主要诱因。骨...
-
2月6日,2025年度全市紧密型县域医共体工作总结暨2026年工作部署会议在市卫健局召开。市医共体总院院长、市人民医院院长李东,市医共体总院副院长、市人民医院副院长吴蓉,市医共体各分院执行院长及相关人员参加了会议。 会上,李东总结2025年度市医共体工作,部署2026年具体工作。他指出,过去一年我市紧密型县域医共...
-
新春佳节将至,2月9日,我院党委书记李权、院长李东、党委副书记龙辅中分别带队走访慰问了陈剑峰等部分退休老领导,向他们致以诚挚的节日问候和美好的新春祝福。 当天,每到一处,李权、李东、龙辅中都与老领导们亲切握手、促膝交谈,一起忆往昔、话当下、展未来,关心每一位老领导的身体健康状况和日常生活情况,详细...
-
2月5日下午一架医疗救援直升机从我院起飞将一名重症患者转运至省级三甲医院进行救治为患者争取到宝贵的救治时间这是南方医院与我院开展合作共建以来区域医疗协同救援的一次高效实践 为确保本次转运万无一失,我院提前与转诊医院进行沟通协调,深入分析评估患者病情,制定应急处置预案,涵盖药品准备、设备调试、医护人员...
-
近日,92岁的郭大爷骑电动车不慎与货车发生严重车祸致左上肢遭严重碾压,左上肢于肘关节处不完全离断,绝大部分组织离断、毁损,仅剩部分皮肤及肌肉相连,自肘上至近腕关节大范围皮肤剥脱、挫烂、缺损,伤口肌肉、神经、血管部分抽出及断裂,骨头严重粉碎性骨折、骨外露、骨碎块散落,伤口流血不止。120急救中心接警后,...
-
近日,我院产科上演了一场与时间赛跑的紧急救治。面对胎儿宫内窘迫的危急情况,产科团队凭借快速的应急响应、精湛的助产技术和高效的多学科协作,仅用5分钟便顺利娩出新生儿,成功守护母婴安全。 本月6日晚,产妇孙女士因停经40+1周、腹痛3小时拟“孕2产1孕40+1周临产”前往我院急诊医学科就诊。院党委委员、工会主席康...
-
近日,我院产科凭借高效的多学科协作以及精湛的医疗技术,成功救治一名胎盘植入合并产后大出血的高危产妇,不仅保住了产妇的子宫,更实现母婴平安,以实际行动践行“以母婴安全为中心”的服务理念,赢得了患者及家属的高度赞誉。 本月22日上午,孕2产1孕39+3周的李女士因瘢痕子宫、高龄经产妇等情况,在我院产科住院接受...

用户登录
还没有账号?
立即注册